Are Dental Veneers the Best Option for You?
Find out by answering the following questions:
1
step 1
2
step 2
3
step 3
4
step 4
5
step 5
6
step 6
Which of the following best describes your teeth?
When would you like to begin treatment?
Have you recently received treatment plans for dental veneers from other doctors?
Are you interested about our payment plans?
How would you like us to contact you?
The form was sent successfully.
An error occured.
TESTIMONIALS
First time Visitor. Amazing experience overall , and taken good care of. Take the precise amount of time to make sure you fell comfortable and got the adequate amount of care.
-D. G.
⭐⭐⭐⭐⭐
I went here for the first time today and I love this dental office! Everyone’s super friendly, very informative and they definitely have your best interest at heart. I would recommend them to everyone! 10/10
-C. W.
⭐⭐⭐⭐⭐
The staff is so genuine and nice! Every time I have an appointment I feel so welcome. And they work with you for payments as well as give you great advice on treatment plans. So glad I stumbled across this dentist!
-R. O.
⭐⭐⭐⭐⭐
I had a wonderful experience. There was absolutely no wait time. Every detail was clearly explained. The entire team was very friendly and professional. Angela took me through the most pain-free dental experience I have had. I highly recommend the Urbn Dental Uptown team.
-G. M.
⭐⭐⭐⭐⭐
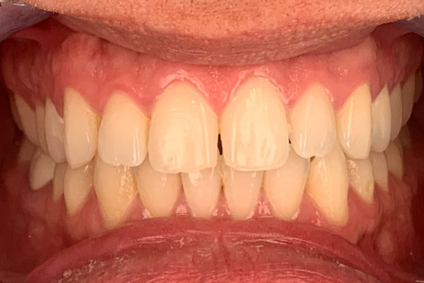
BEFORE AND AFTER PHOTOS
If you’re thinking about getting dental veneers, check out our patients’ beautiful before and after photos.
Before
After


Before
After


Before
After


WHAT OUR PATIENTS ARE SAYING
Find out why we are rated One of the Best Dentists in Houston
OUR LOCATIONS IN HOUSTON
URBN Dental Implants & Invisalign | Uptown
Address: 2400 Mid Ln #350, Houston, TX 77027, United States
Phone: 713-322-8442
URBN Dental Implants & Invisalign | Midtown
Address: 3510 Main St Ste E, Houston, TX 77002, United States
Phone: 346-815-9997
URBN Dental Implants & Invisalign | Montrose
Address: 3201 Allen Pkwy Ste #E200, Houston, TX 77019, United States
Phone: 281-607-5348
URBN Dental Implants & Invisalign | CityCentre
Address: 803 W Sam Houston Pkwy N #124, Houston, TX 77024, United States
Phone: 281-940-3499
URBN Dental Implants & Invisalign | Katy
Address: 94 W Grand Pkwy S Suite 240, Katy, TX 77494, United States
Phone: 832-990-7757
URBN Dental Implants & Invisalign | Heights
Address: 714 Yale St, Suite 2Z, Houston, TX 77007
Phone: 281-667-4422
URBN Dental Implants & Invisalign | Spring Branch
Address: 8143 Long Point Rd, Houston, TX 77055
Phone: 832-281-6106
URBN Dental Implants & Invisalign | Tanglewood
Address: 6363 San Felipe St #200b, Houston, TX 77057
Phone: 281-407-2760
URBN Dental Implants & Invisalign | East River
Address: 2921 Riverby Road, Suite 110, Houston, TX 77020
URBN Dental Implants & Invisalign | Meyerland
Address: 450 Meyerland Plz, Houston, TX 77096
Book Your Dental Veneers Consultation Now!
Speak to our dentist about your smile goals and see if
dental veneers are the right option for you.